Ingrijirea dintilor si a gingiilor in timpul sarcinii

2,654 citiri
Ingrijirea dintilor si a gingiilor in timpul sarcinii

In primul rand trebuie sa intelegeti ca schimbarile hormonale va afecteaza dintii si gingiile.

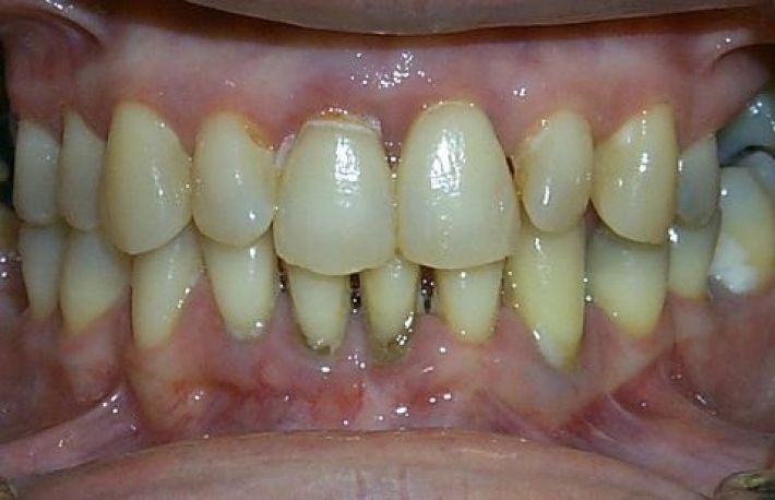
Desi sarcina este o perioada foarte frumoasa din viata unei femei, schimbarile hormonale din corp produc schimbari majore. De aceea este foarte important ca femeile insarcinate sa acorde o atentie sporita ingrijirii dintilor si a gingiilor. Schimbarile hormonale cresc riscul aparitiei bolilor de gingii, deoarece acestea devin mai sensibile, facilitand aparitia gingivitei, ce poate afecta, de asemenea, sanatatea fatului.

De asemenea, femeile gravide trebuie sa constientizeze ca sunt predispuse la parodontoza. Majoritatea femeilor insarcinate au gingivita, manifestata prin inflamare, sangerari, roseata sau sensibilitatea excesiva a tesutului gingival. Parodontoza este o alta boala orala grava, ce poate afecta de asemenea sanatate fatului. Cercetarile arata ca femeile insarcinate, care sufera de parodontoza, pot naste prematur sau pot aduce pe lume copii cu greutatea sub limita normala (predispusi la diferite boli sau dizabilitati viitoare), fiind de 7 ori mai expuse la aceste riscuri, decat gravidele sanatoase.

Femeile insarcinate trebuie sa evite tratamentele dentare in anumite perioade a sarcinii, cum ar fi primul trimestru si a doua jumatate a celui de-al treilea trimestru. Asadar informati-va dentistul cu privire la sarcina si mergeti regulat la control.  

In timpul sarcinii este indicat sa urmati o dieta alimentara sanatoasa si echilibrata. Acest lucru este extrem de important deoarece dintii fatului incep sa se dezvolte inca din a treia luna de sarcina.

Acordati o atentie sporita schimbarilor de orice fel aparute la nivelul gingiilor in timpul sarcinii si apelati de urgenta la dentist daca ceva este in neregula.

Pastrati o buna igiena orala, pentru a preveni si reduce problemele aferente.

Daca nu suportati pasta si periuta de dinti, din cauza greturilor de dimineata, schimbati-le cu unele mai potrivite.

Te-ar mai putea interesa