Cum sa previi PARODONTITA. Consuma aceste produse

4,364 citiri
Cum sa previi PARODONTITA. Consuma aceste produse

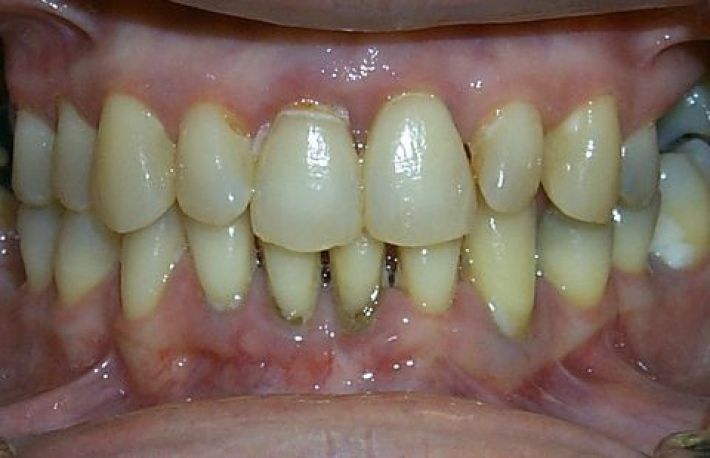
Igiena nepotrivita si mostenirea genetica sunt cauzele aparitiei parondontitei. O boala complicata, care netinuta din scurt se poate transforma in parodontita marginala profunda(parodontoza). Din fericire, aceasta afectiune poate fi prevenita. Cel putin asa sustin oamenii de stiinta, care au descoperit ca exista alimente ce pot impiedica aparitia bolilor gingivale.

Una dintre cele maii raspandite boli gingivale este parondontita. Netratata, aceasta duce la caderea dintilor(parodontoza, in popor). Practic, tesutul gingival se separa de dinti si permite bacteriilor sa se adune.

Metoda naturala impotriva parodontitei:

- consuma nuci, somon, margarina, unt de arahide(alimente bogate in acizi grasi polisaturati). Riscul de aparitie a inflamatiilor gingivale va scadea cu 30%, conform specialistilor, care au testat peste 9000 de persoane pe o perioada de 5 ani pentru a ajunge la acest rezultat.

Tratamente clasice parodontita:

1. Tratarea parodontitei se orienteaza, initial, spre inlaturarea agentilor cauzatori ai bolii : placa dentara si tartrul. Aceste procedee sunt folosite si in tratamentul gingivitei, pentru ca factorii cauzatori sunt aceiasi.

2. Daca inflamatia nu regreseaza se poate ajunge la interventie chirurgicala. Prin aceasta se creeaza acces pentru a se putea indeparta in totalitate tartrul si placa dentara.

3. Ingrijire si intretinere. Igiena orala ca la carte si controalele periodice la minimum 3 luni sunt obligatorii in cazul acestei afectiuni.

 

Te-ar mai putea interesa