Cum se produc fatetele dentare?

4,980 citiri
Cum se produc fatetele dentare?

Fatetele dentare reprezinta o solutie pentru persoanele nemultumite de aspectul dintilor.

Fatetele de portelan, laminate sau dentare sunt bucati de portelan, ce se lipesc pe dinti si sunt extrem de usor de facut, fie din ceramica presata, fie din portelan compozit.

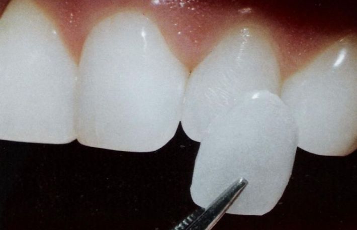
Iata cum se produc:

- Materiale necesare. Este nevoie de un mulaj al dintilor, de dosarul dentar al pacientului, de anestezic local, chit dentar, portelan compozit, ceara, pompa hidraulica si ciment dentar, pentru a face o fateta dentara.

- Se face un mulaj al dintilor. Fatetele ingroasa dintii pacientului, asadar acesta este anesteziat, pentru a i se inlatura un strat de smalt. Apoi se face un mulaj al dintilor, din chit dentar, care este analizat in laborator. Medicul dentist adauga detalii precum: reparatia dorita, forma si culoarea dintilor.

- Fatetele din portelan compozit sunt o buna optiune daca pacientul doreste sa-si modifica putin lungimea si culoarea dintilor si daca vrea sa-si pastreze parti din dintii originali. Aceste fatete se fac manual, prin aplicarea de portelan compozit pe mulaj si prin stratificare treptata. Dupa aplicarea fiecarui strat, mulajul este tratat termic. Se repeta procesul pana se obtine culoarea si forma dorita.

- Fatetele din ceramica presata sunt ideale daca pacientul doreste sa-si modifice radical lungimea dintilor, pastrandu-le aspectul natural sau daca doreste sa i se umple spatiile mari dintre dinti. Si acest tip de fatete se fac manual, aplicand mai multe straturi de ceara pe mulajul de chit. Forma de ceara se dezlipeste, apoi de pe acesta si se injecteaza portelan compozit, intr-o pompa hidraulica de mare presiune. Culoarea acestor fatete poate fi modificata, prin vopsire.

- Cimentarea pe dinti a fatetelor dentare, cu ajustarile necesare.

Costul celor doua tipuri de fatete este aproximativ acelasi, dar cele din ceramica presata sunt produse printr-o tehnica noua si moderna. Dentistii au pareri impartite despre care tip de fateta este mai potrivit, asadar informati-va amanuntit cu privire la acest aspect.

Te-ar mai putea interesa